痛みや怖さを感じにくい、
やさしい歯科治療を。
静脈内鎮静法を取り入れ、
落ち着いた気持ちで治療を
受けられる環境を整えています。
News
新着情報
-
2026.04.21
2026年GW期間中の休診について -
2026.04.08
ホームページをリニューアルしました!
Information
診療時間
| 診療時間 | 月 | 火 | 水 | 木 | 金 | 土 | 日 | 祝 |
| 9:30~12:30 | ○ | ○ | ○ | / | ○ | ○ | / | ○ |
| 14:30~18:30 | ○ | ○ | ○ | / | ○ |
☆ |
/ |
☆ |
☆:土曜祝日午後17:30まで
休診日:木曜・日曜
〒811-3118 福岡県古賀市新久保1丁目1−32
-

JR鹿児島本線「古賀駅」
より車で5分 -

西鉄バス「古賀中学校前」
停留所より徒歩1分 -

駐車場5台分完備
How Your Type?
こんな症状・お悩みありませんか?
Treatment
診療案内
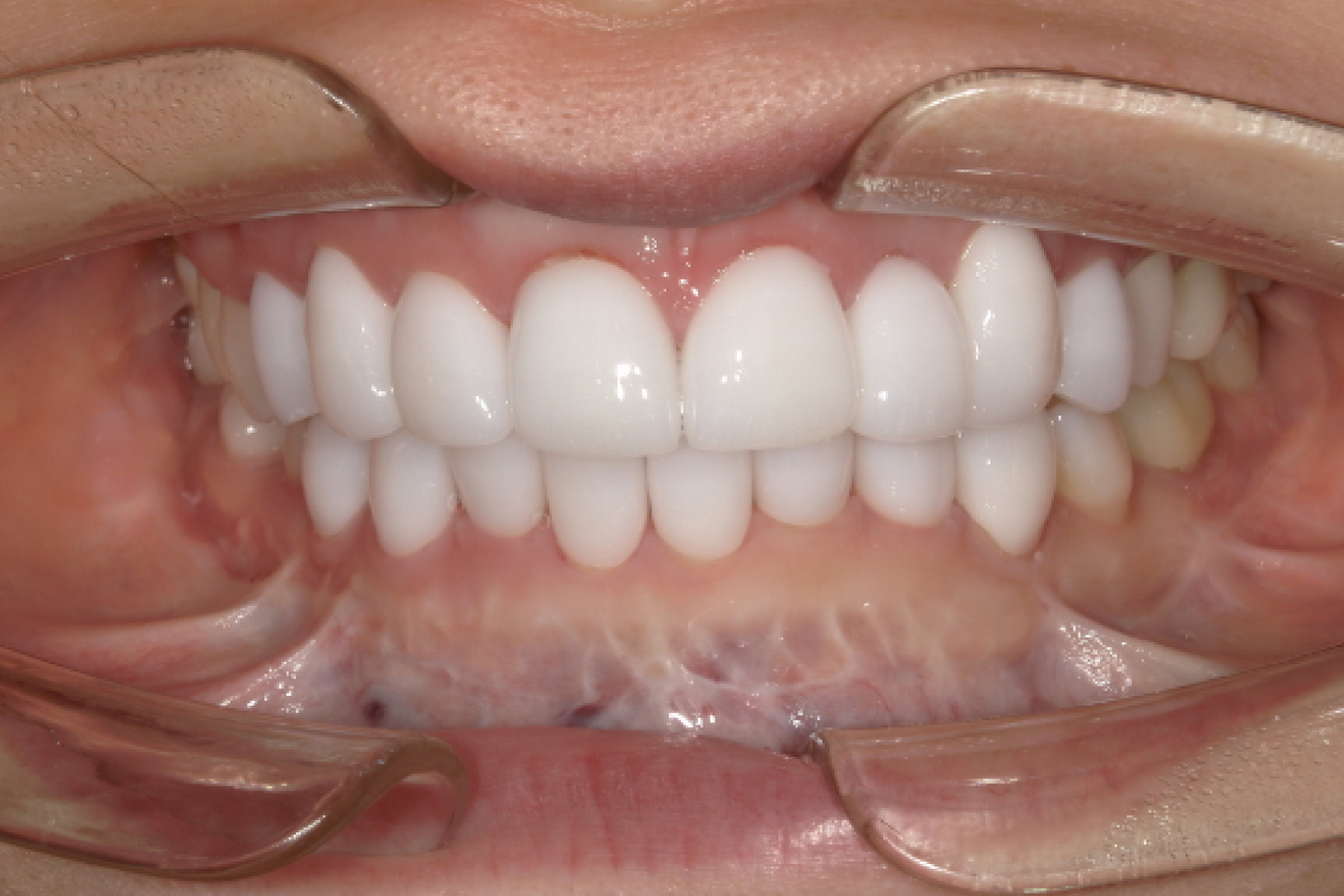
Ceramic Treatment
セラミック治療
当院では、セレックシステムと口腔内スキャナーを活用し、精度の高いセラミック治療を行っています。
従来の粘土のような型取りではなく、負担の少ないスキャンで歯の形を正確に再現できるため、適合性のよい美しい仕上がりが期待できます。
院内でセラミックを作製できる体制が整っており、症例によっては最短1日で治療が完了する点も大きな強みです。
見た目だけでなく機能面まで整えたい方におすすめの治療です。
-
初期〜進行したむし歯まで幅広く対応し、痛みに配慮した治療を行います。
むし歯治療
-
強い痛みの原因となる根の感染を取り除き、できる限りご自身の歯を残すことを目指します。
根管治療
(神経の治療) -
治療への恐怖心が強い方でも、眠っているような落ち着いた状態で受けられる方法です。日本歯科麻酔学会歯科麻酔専門医が担当します。
静脈内鎮静法
-
歯ぐきの腫れ・出血・口臭などの改善を目指し、進行度に合わせて治療を行います。
歯周病治療
-
噛みにくさや痛みの原因を見極め、お口の形に合わせた入れ歯を製作します。
入れ歯
-
痛み・埋まった親知らずなど、外科的な処置が必要なケースに対応しています。
歯科口腔外科
(親知らず) -
怖がらせない進め方で、お子様が安心できる診療を大切にしています。むし歯予防やフッ素塗布、仕上げ磨きのアドバイスなど成長に合わせてサポートします。
小児歯科
-
歯石や着色をしっかり除去し、むし歯・歯周病の発生を抑えます。お口の状態に合わせたホームケアの方法もお伝えし、日頃のケアを続けやすく整えます。
予防・クリーニング
-
自然な白さと耐久性を両立した素材で、見た目と機能の両面から整えます。変色や汚れがつきにくいため、長くきれいな状態を保ちやすい点も特長です。
審美治療
(セラミック) -
歯ぎしり・食いしばり・顎への負担軽減など、目的に合わせてオーダーメイドで製作します。就寝時に使うタイプや日中の食いしばり対策、衝撃から歯を守る用途まで幅広く対応しています。
マウスピース
-
歯の内部から白さを引き出す薬剤を使い、自然で明るい仕上がりを目指します。結婚式・写真撮影などの予定に合わせたプラン相談も可能です。
ホワイトニング
-
妊娠中の体調の変化に配慮しながら、無理のない範囲で検診・クリーニング・治療を行います。
マタニティ歯科
-
通院が難しい方のご自宅や施設に伺い、むし歯治療・入れ歯調整・口腔ケアを行います。
訪問歯科診療
-
むし歯・歯周病のチェックからクリーニングまで行い、お口の健康を長く保てるようサポートします。
定期検診
Reason
まさよし歯科医院が選ばれる
5つの理由
01
Gentle Sedation
不安を抱える方に寄り添う
「静脈内鎮静法」
こわさを和らげ、眠っているような状態で受けられる治療
不安や緊張が強い方でも、静脈内鎮静法をご利用いただくことでリラックスしたまま治療を進められます。
日本歯科麻酔学会歯科麻酔専門医が担当し、全身の状態を丁寧に確認しながら進めています。歯科医院が苦手な方でも安心して通える体制です。
02
Clear Counseling
時間をかけて向き合うわかりやすい
説明と安心のカウンセリング
納得してから進める、丁寧なカウンセリング
治療の流れや選択肢、費用について写真や模型を使いながらわかりやすく説明します。
疑問を残したまま進めることはせず、気になる点はその都度確認します。初めての方でも相談しやすい雰囲気を大切にし、安心して治療に向き合えるようサポートしています。
03
Same-Day Ceramics
忙しい方に嬉しい1日で
仕上げるセラミック治療
短期間でも、美しさと精度を両立した治療を
当院では、セレックシステムを活用し、詰め物・被せ物を院内でスピーディーに製作します。
型取りから装着までを当日中に完了できる場合もあり、仕事や育児で時間を取りづらい方にも便利です。
仕上がりの質にもこだわりながら、治療期間の負担を軽減します。
院長挨拶
Greeting
古賀市新久保にあるまさよし歯科医院の院長、山中仁です。当院では、患者様が気兼ねなく相談できる場所であることを大切にしています。「長く通える歯医者」を目指し、治療だけでなく日々のケアや生活習慣まで寄り添いながらサポートしています。
また、治療が苦手な方には、静脈内鎮静法を用いた方法にも対応し、落ち着いて診療を受けられるよう配慮しています。
見た目を整えたい方、噛みにくさに悩む方、将来を見据えて予防を始めたい方など、どんなご相談も歓迎です。お口のことで気になることがあれば、お気軽にご来院ください。
院長:山中 仁
Yamanaka Hitoshi
採用情報
初めまして。
まさよし歯科医院院長の山中仁です。
当院には、長く通ってくださる地域の患者様が多く、治療だけでなく「ここなら安心できる」と感じていただける場づくりを大切にしています。そのために欠かせないのが、スタッフの存在です。求めているのは、特別なスキルよりも「優しさ」や「丁寧さ」を大切にできる方です。患者様にも、スタッフにも、ここで過ごす時間が心地よいものになるよう、これからも環境づくりを続けていきます。「ここで働いてよかった」と思える職場で、一緒に成長していければ嬉しく思います。
Recruit Information
Column
コラム
-
2024.08.07
【むし歯治療】まさよし歯科が行っているむし歯の治療方法をご紹介します
こんにちは。 福岡県古賀市の歯科・歯医者【まさよし歯科医院】...
-
2024.07.10
こんにちは。 福岡県古賀市の歯科・歯医者【まさよし歯科医院】...
-
2024.06.05
こんにちは。 福岡県古賀市の歯科・歯医者【まさよし歯科医院】...
-
2024.02.06
こんにちは。 福岡県古賀市の歯科・歯医者【まさよし歯科医院】...


